Pathology Image Detail

Caption

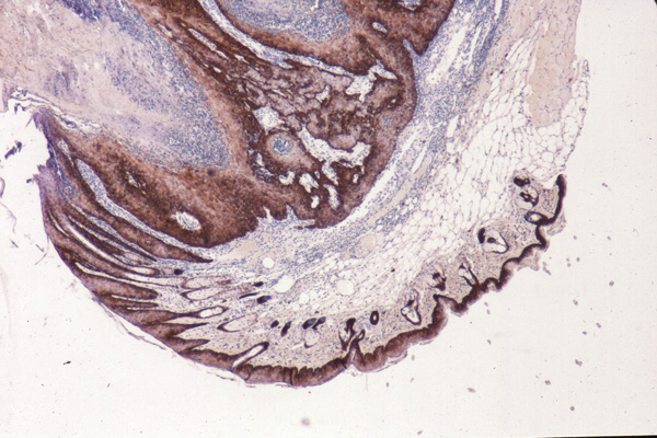
Squamous cell carcinoma of the eyelid. Most neoplastic cells, and the stratum basal and the stratum spinosum of the normal epidermis, stain strongly for cytokeratin 5 (dark brown staining).

Description

Eyelid, squamous cell carcinoma

Age at Necropsy

510 days

Contributor

Mikaelian I (J:94310)

Pathologist

Mikaelian I (J:94310)

Method

IHC for keratin 5
Image Probes

Type: antibody

Name
anti-keratin 5 (PRB-160P) (Covance)
Target
mouse keratin 5, C-terminus
Supplier
Covance
Notes
Monospecific polyclonal rabbit antibody raised against a peptide sequence derived from the C-terminus of the mouse keratin 5 protein, KFVSTTSSSRRSPKS.

Model

MMHC ID
MTB:17123
Tumor Name
Eye - Eyelid • squamous cell carcinoma
Treatment Type
None (spontaneous)
Agent
Tumor Synonyms
squamous cell carcinoma
Organ Affected
Eye - Eyelid
Frequency
observed
Reference
J:94310

Strain

Strain
BALB/cByJ-Lgi4clp
Strain Types
spontaneous mutation
General Note
Mice homozygous for a spontaneous (recessive) mutation, Lgi4clp.
Strain Synonyms
BALB/cByJ-clp/clp
BALB/cByJ-clp
Strain Sex
Male
Reproductive Status
reproductive status not specified
Age of Detection
510 days