Pathology Image Detail

Caption

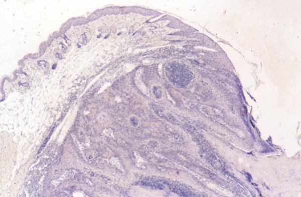
Squamous cell carcinoma of the eyelid. Neoplastic cells and cells from the normal epidermis do not stain for cytokeratin 13.

Description

Eyelid, squamous cell carcinoma

Age at Necropsy

510 days

Contributor

Mikaelian I (J:94310)

Pathologist

Mikaelian I (J:94310)

Method

IHC for keratin 13
Image Probes

Type: antibody

Name
anti-cytokeratin peptide 13 (C0791)
Target
human keratin 13 (KRT13)
Supplier
Sigma-Aldrich
Notes
Monoclonal Anti-Cytokeratin Peptide 13 from mouse. Labels squamous, non-keratinized epithelium, transitional epithelium, pseudostratified epithelium and myoepithelium.

Model

MMHC ID
MTB:17123
Tumor Name
Eye - Eyelid • squamous cell carcinoma
Treatment Type
None (spontaneous)
Agent
Tumor Synonyms
squamous cell carcinoma
Organ Affected
Eye - Eyelid
Frequency
observed
Reference
J:94310

Strain

Strain
BALB/cByJ-Lgi4clp
Strain Types
spontaneous mutation
General Note
Mice homozygous for a spontaneous (recessive) mutation, Lgi4clp.
Strain Synonyms
BALB/cByJ-clp/clp
BALB/cByJ-clp
Strain Sex
Male
Reproductive Status
reproductive status not specified
Age of Detection
510 days