Pathology Image Detail

Caption

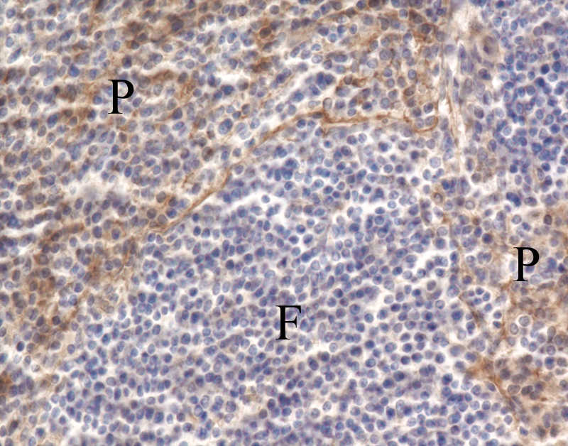
Lymph node - Normal tissue. There is strong labeling of endothelial and dendritic cells in the parafollicular areas (P) of this lymph node. Dendritic cells are in much lower number in the lymphoid follicle (F).

Description

Lymph node - Normal tissue.

Contributor

Mikaelian I (J:94313)

Pathologist

Mikaelian I (J:94313)

Method

IHC for integrin beta 1 (CD29)
Image Probes

Type: antibody

Name
anti-integrin beta 1 (MAB1997)
Target
mouse integrin beta 1
Supplier
Chemicon
Notes
Rat antibody raised against mouse integrin beta 1 (CD29) protein

Model

MMHC ID
MTB:27668
Tumor Name
Lymph node • normal tissue (control)
Treatment Type
None (spontaneous)
Agent
Tumor Synonyms
lymph node, normal tissue
Organ Affected
Lymph node
Frequency
not applicable
Reference
J:94313

Strain

Strain
C57BL/6J
Strain Types
inbred
Strain Synonyms
wild-type C57BL/6J
C57Bl/6J
p53+/+
C57BL/6 from Jackson Laboratory
C57BL/6
B6
C57/Bl6
C57
C57BL/6J (F129+51)
C57 black subline 6
B/6
Bl/6
C57BL/6J wild-type
WT
Black 6
C57 Black
wild type
C57BL/6J+/+
p53 wild-type (+/+)
C57BL6/J
C57BL/6J, H-2b
C57/B16
wild-type
C57BL
B6 WT
wild-type (WT)
WT-Control
WT-CR
C57/Bl 6J
C57/Bl
p21+/+p27+/+
control
Ctr
C57BL/6J (UW)
B6J
C57BL/6J inbred WT
C57 BL/6
Wild-type (WT) C57BL/6J
Strain Sex
Unspecified
Reproductive Status
reproductive status not specified