Pathology Image Detail

Caption

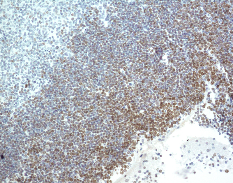
Thymus - Normal tissue. There is moderate to strong diffuse nuclear labeling for Mki67 of thymocytes in the cortex of the thymus.

Description

Thymus - Normal tissue.

Age at Necropsy

unknown

Contributor

Mikaelian I (J:94313)

Pathologist

Mikaelian I (J:94313)

Method

IHC for Ki-67
Image Probes

Type: antibody

Name
anti-Ki-67 (550609)
Target
human MKI67
Supplier
BD Biosciences
Notes
Monoclonal antibody raised against human MKI67

Model

MMHC ID
MTB:27703
Tumor Name
Thymus • normal tissue (control)
Treatment Type
None (spontaneous)
Agent
Tumor Synonyms
thymus, normal tissue
Organ Affected
Thymus
Frequency
not applicable
Reference
J:94313

Strain

Strain
C57BL/6J
Strain Types
inbred
Strain Synonyms
wild-type C57BL/6J
C57Bl/6J
p53+/+
C57BL/6 from Jackson Laboratory
C57BL/6
B6
C57/Bl6
C57
C57BL/6J (F129+51)
C57 black subline 6
B/6
Bl/6
C57BL/6J wild-type
WT
Black 6
C57 Black
wild type
C57BL/6J+/+
p53 wild-type (+/+)
C57BL6/J
C57BL/6J, H-2b
C57/B16
wild-type
C57BL
B6 WT
wild-type (WT)
WT-Control
WT-CR
C57/Bl 6J
C57/Bl
p21+/+p27+/+
control
Ctr
C57BL/6J (UW)
B6J
C57BL/6J inbred WT
C57 BL/6
Wild-type (WT) C57BL/6J
Strain Sex
Unspecified
Reproductive Status
reproductive status not specified
Age of Detection
unknown