PDX Model DetailsJ000109079

Request information on the availability of this model.

PDX Model Summary

Model Details

Model ID
J000109079
Initial Diagnosis
Ewing sarcoma
Final Diagnosis
Ewing sarcoma
Stage/Grade
AJCC IV /
Primary Site
Soft tissue
Sample Site
Liver
Tumor Type
Metastatic

Patient

Sex
Male
Age (at time of tissue collection)
24
Race/Ethnicity
Not Reported / Not Reported
Treatment Naïve?
Unknown
Current Smoker/Former Smoker
Unknown / Unknown

Engraftment

Host Strain
NOD.Cg-Prkdcscid Il2rgtm1Wjl/SzJ
(aka NSG or NOD Scid gamma)
Sample Type
Surgical resection (fragment)
Engraftment Site
Right Flank

Molecular Data (Engrafted Tumor)

Variants

Gene Expression

Platforms: stRNA_Seq

Hatched bars indicate genes with expression levels determined to be mildly affected by alignment calculations. Details.

Gene CNV

CNV Plots

Tumor Mutation Burden

Sample J000110985 from passage P1 has a TMB score of 3.23
TMB Range
0.0-304.42 (across all JAX PDX models; TMB > 22 is considered high)

Microsatellite Instability

Sample:J000110985 from passage P1     Score:MSI-S

Gene Fusion

Fusion Genes
Sample J000110984 has fusion genes NAIP--OCLN, TVP23C--CDRT4, SMURF2P1--LRRC37B, KANSL1--ARL17B, GGA1--SEC14L6, POLR2J2--AC004951.2, BOLA2B--SMG1P2, EWSR1--FEV, FEV--SEC14L4, OR51S1--TP53I11, AC009271.1--LINC01905, AL163541.1--MYO16-AS1, SLC25A32--BAALC-AS1, CFAP298--TCP10L, VPS4B--LOXHD1, AC010185.1--CMAS, PCDHA2--PCDHAC2

Model Characterization

Histology

Summary:
P1 pathology consistent with a metastatic and highly treated Ewings Sarcoma with aberrant cytokeratin expression. P2 Pathology consistent with Ewings Sarcoma.
Pathologist:
Dr. Regina Gandour-Edwards, University of California, Davis.

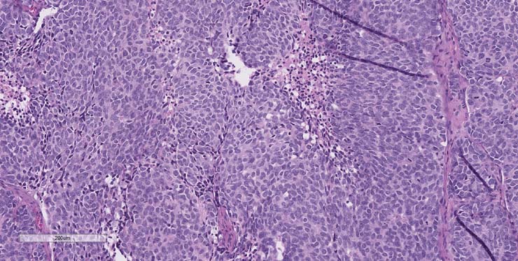
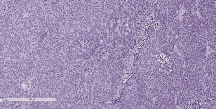
P1 tumor F001 ID007 for PDX model J000109079 stained for H&E.

P1 tumor F001 ID006 for PDX model J000109079 stained for AE1AE3. Staining was positive.

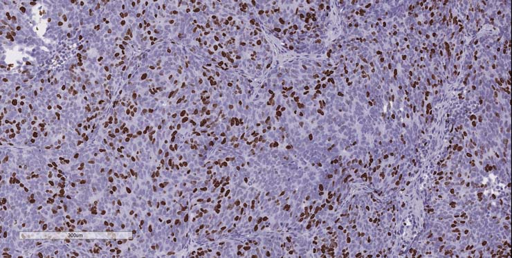
P1 tumor F001 ID006 for PDX model J000109079 stained for KI67. Staining was positive.

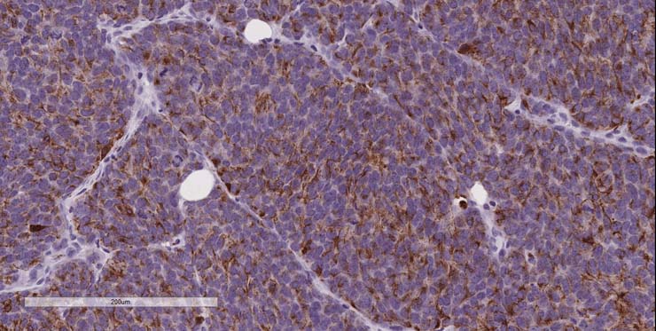
P1 tumor F001 ID006 for PDX model J000109079 stained for CD45. Staining was negative.

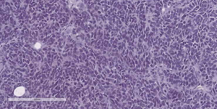
P2 tumor ID011 for PDX model J000109079 stained for H&E.

P2 tumor ID011 for PDX model J000109079 stained for AE1AE3. Staining was positive.

P2 tumor ID011 for PDX model J000109079 stained for CD45. Staining was negative.

P2 tumor ID011 for PDX model J000109079 stained for Ki67. Staining was positive.

Dosing Studies

no data

Circos Plots

no data