PDX Model DetailsTM00351

Request information on the availability of this model.

PDX Model Summary

Model Details

Model ID (Previous ID)
TM00351 (AP1934F)
Initial Diagnosis
Appendix carcinoma
Final Diagnosis
Appendix carcinoma
Stage/Grade
Not Specified /
Primary Site
Appendix
Sample Site
Peritoneum
Tumor Type
Metastatic

Patient

Sex
Female
Age (at time of tissue collection)
49
Race/Ethnicity
Not Reported / Not Reported
Treatment Naïve?
Yes
Current Smoker/Former Smoker
Unknown / Unknown

Engraftment

Host Strain
NOD.Cg-Prkdcscid Il2rgtm1Wjl/SzJ
(aka NSG or NOD Scid gamma)
Sample Type
Surgical resection (fragment)
Engraftment Site
no data

Molecular Data (Engrafted Tumor)

Variants

Gene Expression

no expression plots

Gene CNV

no CNV data

CNV Plots

no CNV plots

Tumor Mutation Burden

Sample AP1934F239P0000P1011P2 from passage P2 has a TMB score of 11.31
TMB Range
0.0-304.42 (across all JAX PDX models; TMB > 22 is considered high)

Microsatellite Instability

Sample:AP1934F239P0000P1011P2 from passage P2     Score:MSI-S

Gene Fusion

no data

Model Characterization

Histology

Summary:
P0, P1 pathology consistent with adenocarcinoma. P2 pathology consistent with mucinous adenocarcinoma.
Pathologist:
Dr. Regina Gandour-Edwards, University of California, Davis

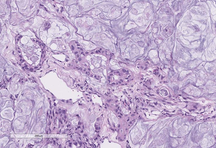
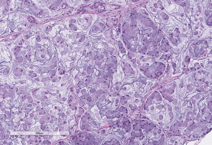
P0 tumor F240 for PDX model TM00351 stained for H&E.

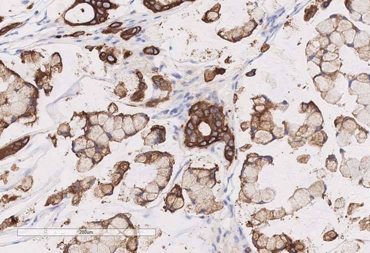
P0 tumor F240 for PDX model TM00351 stained for AE1AE3. Staining was positive.

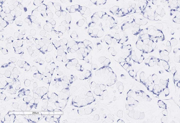
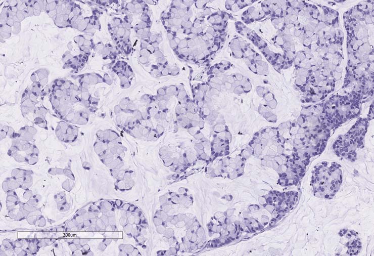
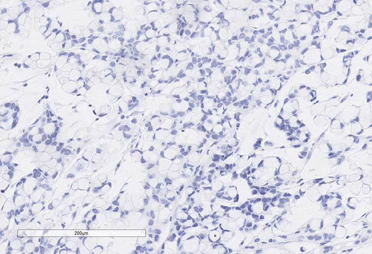
P0 tumor F240 for PDX model TM00351 stained for CD45. Staining was negative.

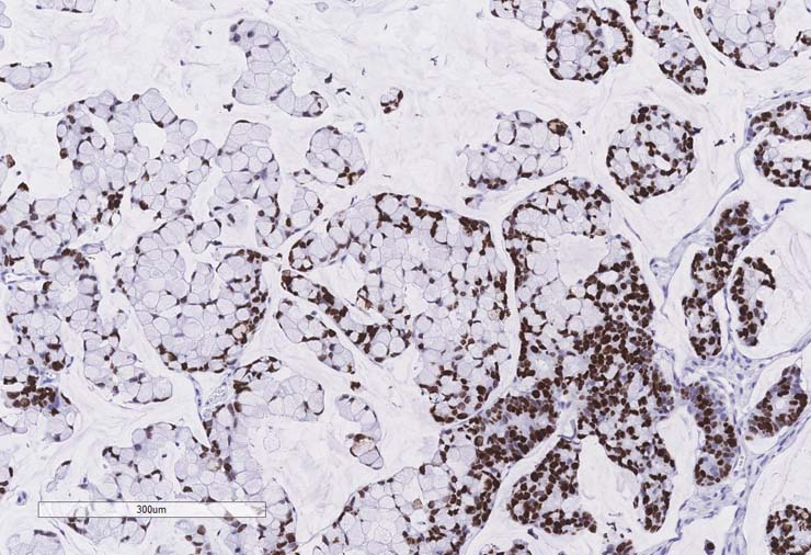
P0 tumor F240 for PDX model TM00351 stained for Ki67. Staining was positive.

P1 tumor F239 ID003 for PDX model TM00351 stained for H&E.

P1 tumor F239 ID003 for PDX model TM00351 stained for AE1AE3. Staining was positive.

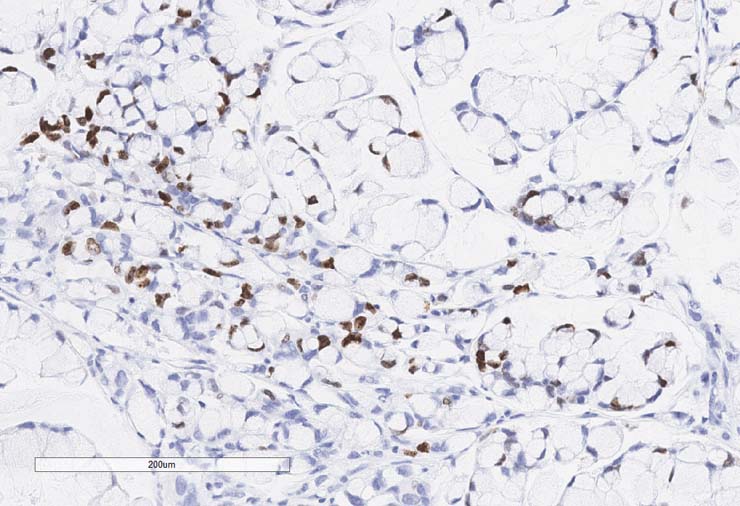
P1 tumor F239 ID003 for PDX model TM00351 stained for CD45. Staining was positive.

P1 tumor F239 ID003 for PDX model TM00351 stained for Ki67. Staining was positive.

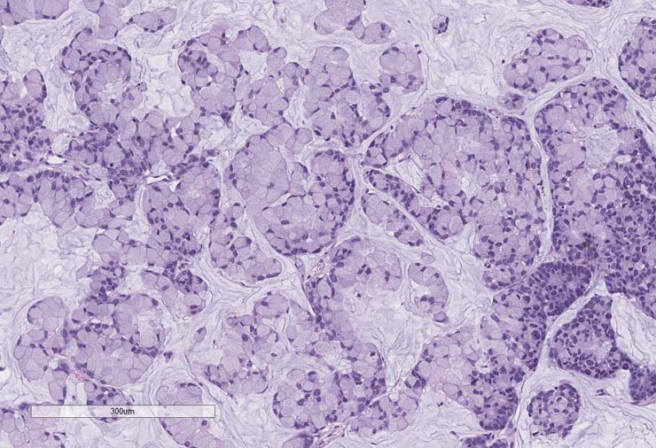
P2 tumor F239 ID011 for PDX model TM00351 stained for H&E.

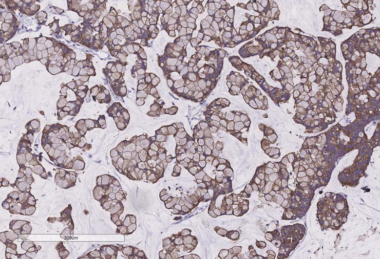
P2 tumor F239 ID011 for PDX model TM00351 stained for AE1/AE3. Staining was positive.

P2 tumor F239 ID011 for PDX model TM00351 stained for CD45. Staining was negative.

P2 tumor F239 ID011 for PDX model TM00351 stained for Ki67. Staining was positive.

Dosing Studies

no data

Circos Plots


Circos plot for PDX model TM00351 (aka, AP1934); tumor passage unknown