Advanced Search
Other Resources
Antibody Staining Report
Lymphoma Pathology Report
MMHCdb Video Tutorial
Searches/Tools
Tumor Frequency Grid (inbred strains)
Patient Derived Xenograft (PDX) Search
PDX Like Me
CancerModels.org
cBioPortal for PDX
PDX STR Profiler
About
About Us
Publications
Help
News & Events
This repository is under review for potential modification in compliance with Administration directives.
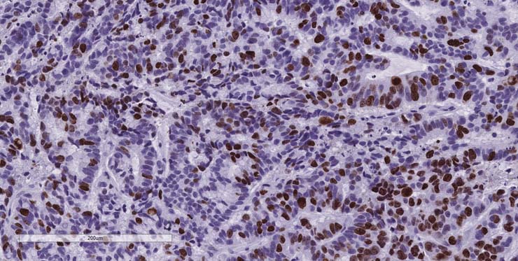
PDX Image Detail
Description
P1 tumor F147 ID010 for PDX model TM01130 stained for Ki67. Staining was positive.